×
[PR]上記の広告は3ヶ月以上新規記事投稿のないブログに表示されています。新しい記事を書く事で広告が消えます。
| 犬の骨折 |
<スポンサードリンク>
この場合、飼い主の目の届くところで起こる事が多く、骨折したのではないかと
犬の症状をその場で見て判断できることも多い病気です。
しかし、何らかの病気が元となって骨が弱く、もろくなっていることも考えられます。事故ではなく病気の場合には骨がもろくなっていて簡単に骨折することもあります。食事の栄養バランスやホルモンの異常が原因で骨がもろくなってしまったり、骨に腫瘍ができていることなどがあげられます。
犬が骨折すると、痛みを伴うために歩行の異常が見られます。その他に幹部の腫れや四肢の変形、機能障害などを併発します。
多くの場合は、交通事故や高所から落ちたり、高いと承知で無理やり降りたりした際に起こります。
| 病状のチェック |
骨折すると、痛みや幹部の腫れが起こります。四肢の変形や機能障害、歩行の異常や歩行困難に陥ります。
折れた骨が皮膚を破って目に見えるような重症の場合を解放骨折といい、幹部の細菌感染する機会が増えるので注意が必要です。
反対に骨折した部位が目に見えない皮膚の内部で起こっているものを閉鎖骨折といいます。
骨折したのかの判断は犬の症状にもよりますが、脚をひきずったり、地面に着けるのをいやがる時間が長ければ骨折を疑う必要があります。
また、ヒビが入る程度の骨折の場合、痛みに強いので目で見る範囲では骨折したと思わないことも多いようです。
時間をおいても脚を気にするようであれば、一度獣医に相談することをおすすめします。
| 診断と治療 |
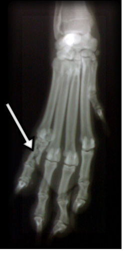
骨折を疑う部位を2方向からX線撮影を行い、状態を確認し判断します。
骨折と判断した場合、折れた骨を元の状態に形成して固定します。骨折の度合いにもよりますが、皮膚を切開して処置することもあります。
とにかく折れた骨を動かないように固定して、自然治癒を待つことになります。
一般的には特殊な包帯の巻き方で処置したり、副木を当てたりギプスをはめるなどの処理を行い固定します。
皮膚の上に飛び出してしまったような重症の場合、手術によって骨をピンやワイヤー、金属板やネジなどで直接繋いで固定します。
<スポンサードリンク>
| 犬の骨の主な病気 |
●大半の原因は事故による「骨折」‥‥‥‥‥‥‥‥詳細を見る>>
●関節の骨が正常な位置からずれる「脱臼」‥‥‥‥詳細を見る>>
●後脚の付け根の関節がずれる「股関節の脱臼」‥‥詳細を見る>>
●ひざの関節の皿がずれる「膝蓋骨の脱臼」‥‥‥‥詳細を見る>>
トップページに戻る>>
PR
- <<犬の骨の病気
- | HOME |
- 犬の骨の病気 脱臼>>
